治療後のなんともないを、当たり前に



横浜市戸塚区品濃町563
ネオポリストキワ5 2F

東戸塚駅 徒歩9分

駐車場 9台
| 診療時間 | 月 | 火 | 水 | 木 | 金 | 土 |
| 9:30〜18:00 | ● | ● | ● | ● | ● | ★ 17時まで |
土曜日は9:30〜17:00
休診日:日曜・祝日
Concept
歯科さめじま Holistic Dental Care
歯科さめじまの考える Holistic Dental Care は2通りの意味があります。
01
1つ目は開業当初からずっとコンセプトとして打ち出している
「口の中から全身を診る」です。
歯周病と全身との相関ですが、開業当初の30年以上前よりも多くの疾患との因果関係が深く研究されてきました。
例えば糖尿病、心筋梗塞、脳梗塞、低体重児早産、認知症、アルツハイマー、ガン(膵臓・食道・大腸)、腎炎、アトピー性皮膚炎、副鼻腔炎、味覚障害、敗血症、うつ病、リウマチ、誤嚥性肺炎 etc です。
お口の中は誰でも数億個の菌が存在します。菌の質を良くする事が未病を防ぐ第一歩です!

02

2つ目は下顔面由来で考えられる
包括的歯科治療です。
例えば噛み合わせのバランスが悪い為に、話しにくい、飲み込みづらい、ほうれい線やマリオネットライン(口角から下顎に向かって伸びるたるみじわ)が深い、もしくは片側だけが顕著にある、顔の左右が非対称、ステキなスマイルができない etc. といったお悩みに対応するということです。
歯科さめじまは、歯科医院として出来ることの全てにお応えすることをモットーに、
より精密でより美しい健康な口元の実現の為にチーム医療として治療水準を向上させるべく、
それぞれ誇りを持って従事しています。

歯科さめじまの治療方針
Dental Care Policy
1. 痛みは最小限に
2. 出来るだけ抜かない、削らない
3. 納得されるまで説明
4. 最新医療機器による精密な治療
口から全身を診る
〜健康寿命を延ばす秘訣とは?〜
口の中から全身を診るというHolisticの視点からのもう一つの提案です。オーラルフレイル(口の中の虚弱化)が起こると健康寿命を確実に短くしてしまいます。健康保険で様々な検査が出来ます。検査データに基づいて改善メニューを考えていきます。口の中の健康を維持し良い人生を送りましょう。


お子様に生涯健康な口腔機能と顔貌を
お子様に生涯健康な口腔機能と顔貌に導くアドバイスや、治療をします。
将来に向けて保護者は子供の成長過程で何に気をつけていけば良いのか。
むし歯の予防だけでなく、綺麗な歯並び、美しい横顔、姿勢になるにはどうしたら良いかをお伝えします。
ほとんどの技工物を院内で製作しています
従来の診療所では技工物は歯科医師さんが患者さんとのコミュニケーションで技工指示書(設計図)を作成し外注の技工士さんに伝えて技工物を製作しています。歯科さめじまでは、ほぼ全ての技工物を院内の技工室で製作しており、歯科技工士が直接患者さんのお顔を見て、要望を伺いその方によりマッチする美しい歯を入れる事ができます。

Feature
歯科さめじまの特徴
Medical Equipment
医療機器
当院ではCT、各種レーザー、マイクロスコープ等最新の医療機器を揃えております。より精密に、幅広い治療を提供することが出来ます。

Kids Room
キッズルーム
資格を持った経験豊富な保育士が、明るく安全な環境でお子様をお預かりいたします。小さなお子様がいらっしゃる方も安心して受診していただけます。予約が必要ですので、診察の予約の際に合わせて受付にお申し付け下さい。

Infection Control
感染対策
当院では快適、清潔に診療を受けていただくために様々な機器を導入して、感染予防、環境衛生に取り組んでおります。また、歯科診療時の偶発症など緊急時の対応及び感染症対策としての装置・器具の設置なども整っております。厚生労働大臣が定めた施設基準に適合し、地方社会保険事務局長に届けを出している医療機関です。

Cosmetic Dentistry
美容医療
美しいスマイルラインとE-ラインにより近づけるための歯科治療と歯科医院でできる咬筋ボトックス治療、フェイスラインのたるみ改善治療その他注入療法をご紹介します。

Flow
初めての方へ|診療の流れ

初診
問診では皆様が現在どのようなことでお困りなのか最初にお伺いします。診断の判断材料となる為の入り口にあたる大切なものです。

主訴の対応
痛みがある場合、まずは痛みを取り除く応急処置をします。

診査・検査
(必要があれば精密検査)
模型採得、歯周ポケット検査、レントゲン写真、唾液検査など必要に応じた各審査を行い口腔全体を考えた包括的な治療(Holistic Care)に役立てます。

治療概略の説明
担当医からお口の中の状態と治療について、ご説明します。

治療


例)咬合治療、矯正治療、ホワイトニング、補綴ケア、習癖ケア
最適な嚙み合わせなど、それぞれの患者様にあったケアプランをご説明して、その中からご自身に合った治療プランを患者様に選択していただきます。

必要に応じて
コンサル
院長監修の元、予算に合わせた補綴計画(細かい治療プラン)を担当スタッフよりご提案します。

最終補綴へ
補綴とは、歯の修復物のことです。

メンテナンスへ
定期的なメンテナンスと的確なホームケアにより正しい生活習慣を意識し、健康で清潔な、お口を維持していきましょう。
Case
症例紹介|ホワイトニング・矯正の実績


症例
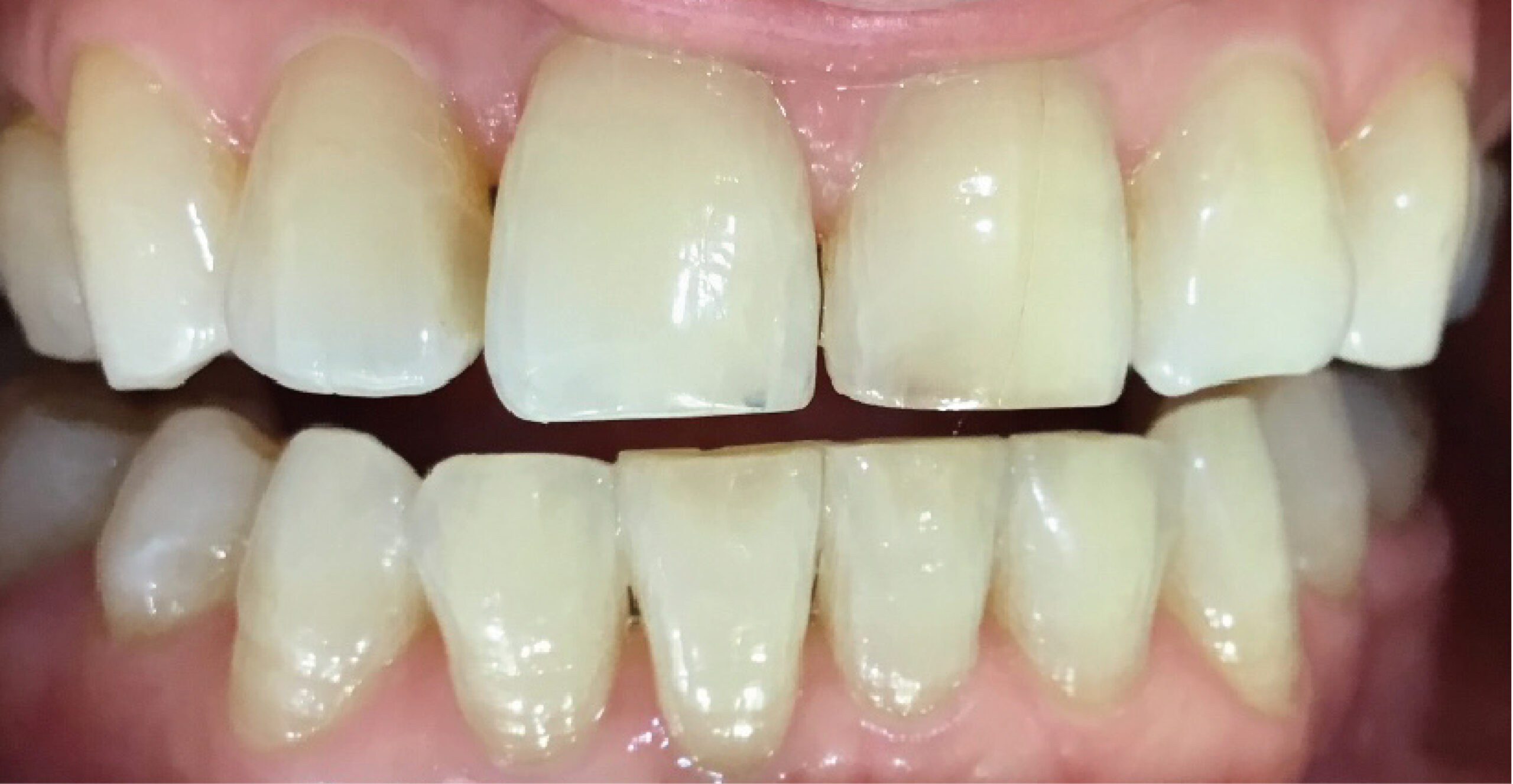
オフィスホワイトニング


※本施術は自由診療(保険適用外)です
治療内容:高濃度漂白ジェルを光照射で活性化し、歯面をブリーチ
標準的治療回数 2回 施術時間 2時間〜3時間
費用総額
7本以下:1本3,500円
8本以上:1本2,500円
主なリスク・副作用:一時的な知覚過敏/施術後24時間は着色性飲食物を控えてください
期待できる効果:1回の施術でホームホワイトニングよりもトーンアップが期待できます(効果には個人差があります)


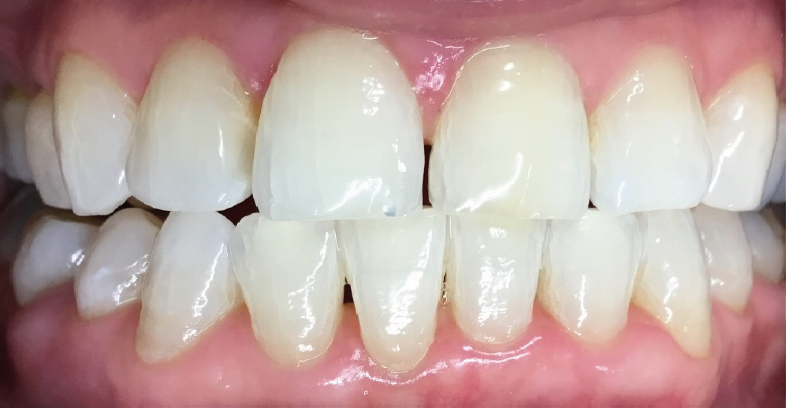
症例
パーフェクトホワイトニング


※本施術は自由診療(保険適用外)です
治療内容:院内ホワイトニング1回+ご自宅で2週間のホームホワイトニング
標準的治療期間:約14 日(通院1回・在宅14 日)
費用総額:税込 64,000円
主なリスク・副作用:知覚過敏/薬剤の長時間使用は避け、指示通りにご使用ください
白さをより出したい方や、白さを継続させたい方にオススメです。 オフィス・ホームを合わせることでさらにトーンアップが期待できます(効果には個人差があります)
Trouble
お悩み別治療法|あなたのお悩みを解決
↑気になる項目をクリックしてください↑
Staff
歯科さめじまのスタッフのご紹介

院長
鮫島 佳子
YOSHIKO SAMEJIMA
約50年住み慣れた東戸塚に歯科さめじまを開業して30年になります。
当院は場当たり的な治療ではなく、科学的根拠に基づいて、噛み合わせやお顔のバランス、生活習慣を考慮し、根本から改善する治療法を行います。
精密でより美しい健康な口元の実現の為に数々の機材を取り入れております。
歯科医師、技工士、衛生士、助手、コーディネーター、受付、事務、保育士、クリーンスタッフがチーム医療として、治療水準を向上させるべく、それぞれ誇りを持って努力しております。歯科さめじまHolisticDentalCareで皆さまをお待ちしております。

副院長
松岡 宏行
HIROYUKI MATSUOKA
大学卒業後、付属病院にて義歯(入れ歯)の治療をメインに3年間勤め、その後歯科さめじまに勤務し、早20年以上が経つかなりの古株です。
義歯以外の治療は院長である鮫島佳子先生にご教授していただき、日々来院される方々のお口の健康のために歯科治療に従事しております。又、臨床研修指導医でもあるため研修歯科医師の指導にもあたっています。彼らのお手本となるような治療を心掛けていることはもとより、患者さんの希望に沿い満足していただけるようこれからも研鑽を積んでいきたいと思っております。

主任歯科医師
武田 真
MAKOTO TAKEDA
研修医時代から勤めさせてもらい10年以上が経ちました。東戸塚の街がもう第二の故郷のように感じます。院長、副院長はじめチーム医療であらゆる角度から治療方針を立て患者さんにとっての最善、最良の治療を提供していきます。
私自身も皆さんの不安を少しでも取り除けるよう「優しく、丁寧に」をモットーに日々診療を行っております。美味しいご飯を食べたり、楽しく会話したり、毎日が笑顔になれるよう一緒にがんばりましょう。
Dentist
歯科医師
将来親の跡を継ぐ
歯科さめじまの若手のプリンス

永澤 祐太朗
YUTARO NAGASAWA
歯医者には痛みが出てから症状が出てから行けばいいとは考えてはいませんか?
何においても共通することですが、起こってしまってからでは遅いのです。
検診に通っていれば、ホームケアの方法を教わっていれば etc.. 神経が残せたかもしれない、歯が残せたかもしれない。そういった事態を防ぎ、老後も自身の歯で美味しく食事をして頂きたいと考えております。私は一人一人に10年先20年先まで見据えた最適な治療法を提案し、納得した上で帰っていただけるよう全力を尽くします。
Orthodontist
矯正医

上運天 太一
TAICHI KAMIUNTEN
歯並びは、審美的な面や、「よく噛める!」といった機能的な面でとても重要です。歯を見せて笑える、美味しくご飯が食べれる、といったように歯並び一つで生活の質がグッと上がります。お子様の場合、顎の成長のコントロールを行うことによって、歯を抜かずにすべての自分の歯を並べることができる可能性があります。今しかできないことがあります!お子様の場合は早めのご相談を!
Dental Technician
歯科技工士

歯科技工士長
井出 康時
YASUTOKI IDE
歯科さめじまでは、ほとんど全ての技工物が院内技工室で製作されています。
専属の歯科技工士が患者さんの要望を直接聞き、それに応えられる体制が整って居る為、最も適した技工物の提供が可能になります。
歯科さめじまの歯料技工士は1993年の開業から、様々な患者さんの治療に携わらせていただいた中で、どのようにしたらより良い技工物ができるのか?要望に応えることができるのか?と考えながら、医院と共に歩んで参りました。院内の技工室とは、例えるならレストランの厨房のようなものかもしれません。厨房に立つ料理人の如く、歯科技工士も自分が製作した物に満足していただけるよう、日々精進しております。
Dental Hygienist
歯科衛生士

お口の健康と美を通して全身の健康へ!
オーラルケアのスペシャリストによるプロケアサービスを行っております。皆様のお口の健康と美のサポートをしていきます。お気軽にご相談ください。
Dental Assistant
歯科助手

みなさまとドクターとの橋渡し役として様々な診療の補助をしています。
器具や院内環境の清潔と管理を徹底しています。
みなさまに快適な環境で安心して受診していただくよう配慮をしております。
Receptionist
受付

ご来院される方々に様々なお悩みや目的がある事をふまえ、快適に通院していただけますよう、お一人おひとりのケースに沿った配慮を心掛けております。
Medical Office Worker
医療事務

最も専門的な知識を要するレセプト業務をはじめ、医事コンピューターの入力など、正確性かつ慎重さを大切にバックグラウンドで医院を支えております。
Coordinator
コーディネーター

入れ歯、ブリッジ、インプラント等の治療の際にクリニカルコーディネーターがカウンセリングをいたします。
ご予算や治療期間も加味した上で症例に適した最善の治療方法、治療計画をコーディネートいたします。
Cleaning Staff
クリーンスタッフ
常に清潔で快適な環境を保つ為に、プロとしての目線、また、皆様の目線を大切に診療スペース、院内全体を毎日丁寧に清掃しております。
Access
アクセス情報|東戸塚駅から徒歩9分

〒244-0801
神奈川県横浜市戸塚区品濃町563
ネオポリストキワ5 2F

横須賀線「東戸塚」駅より徒歩9分
東品濃小学校隣り

- 東戸塚駅東口、1番乗り場より
横浜市営バス「品濃谷宿公園バス停」すぐ - 210系統:境木中学校前ゆき、
平戸幼稚園入口ゆき、
平戸2丁目経由東戸塚駅前ゆき - 214系統:境木本町西経由東戸塚駅前ゆき
- 260系統:権太坂上経由平和台折返場ゆき

環状2号線 環2境木交差点そば
駐車場:9台







